Frequently Asked Questions
For answers specific to your particular treatment, you may ask the Dentist or Dental Hygienist during your next visit.
Your teeth perform more functions than simply chewing; they are necessary for healthy gums and jaw, they are needed to speak, they keep facial muscles and tissue in position and they prevent your other teeth from shifting....
Diet and nutrition are important aspects of your health - what goes on in your mouth affects your oral health as well as the health of your entire body....
It is said when you smile at the world, the world smiles back at you. Are you confident and proud of your smile....
Yes. Your teeth are remarkably strong but, despite being careful and practicing good oral hygiene, one of your teeth can get broken....
While you cannot foresee an unexpected accident that may require immediate dental treatment, you can minimize the chance of an annoying toothache....
Visiting your Dentist on a regular basis is an important part of good oral hygiene to complement your routine of brushing teeth and flossing....
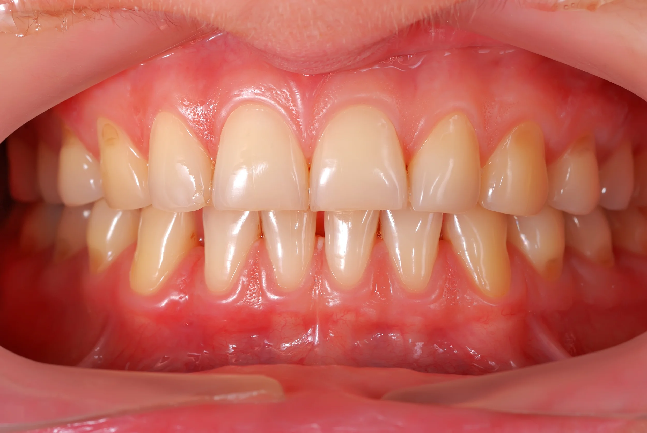
In some cases of gingivitis, the symptoms are mild and you may not even know you have it until it is too late....
Your child’s first trip to the Dentist could be as young as six months old or once the first tooth appears....
Your request has been sent.
We look forward to seeing you as a patient soon.
705-742-9999
1524 Lansdowne Street West, Unit 5
Peterborough, Ontario, K9J 2A2
(across from Kawartha Dodge)
t: 705-742-9999
Payment Options:
Direct billing to your insurance, Interac, Visa, MasterCard or financing through iFinance